Skip to navigation Skip to main content
  • Translate
    • English
    • Chinese
    • Russian
    • Arabic
    • Bengali
    • French
Search
  • Home
  • Medicines
  • Generics
  • How To Order
  • Contact us
Login / Register
0 items $0.00
Menu
0 items $0.00

Kaposi’s sarcoma

HomeAnti CancerArchive by Category "Kaposi’s sarcoma"
What is Kaposi Sarcoma?
14 Jun
Kaposi's sarcoma

Kaposi Sarcoma

Posted by author-avatar saif006
August 24, 2022
0
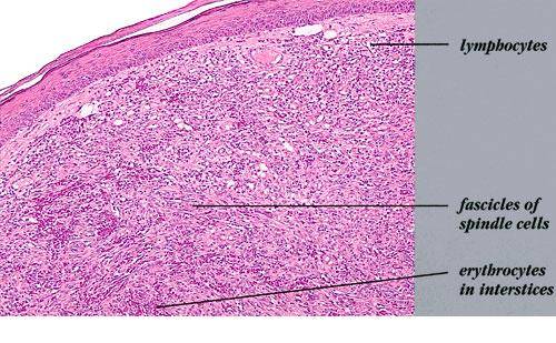
Cancer starts when cells in the body start to grow out of control. Cells in nearly any part of the body can become cancer and can expan...
Continue reading
Close
Categories
  • Acromegaly
  • Anti Androgen
  • Anti Cancer
  • Anti Diabetic
  • Anti fungals
  • Anti Viral
  • Antiarrhythmic
  • Antidiarrheal
  • Antirheumatic
  • Asthma
  • Blood Cancer
  • Brain Tumor
  • Breast cancer
  • Cervical cancer
  • Colon cancer
  • Endometriosis
  • Esophageal cancer
  • Fallopian tube cancer
  • Fibrillation
  • Fibrocystic breast disease
  • Gynaecological
  • Hematopoietic
  • Hemochromatosis
  • Hepatitis B
  • Hepatitis C
  • Hereditary Angioedema
  • HIV
  • Hyperuricemia
  • Hypoglycemia
  • Idiopathic Constipation
  • Immunoglobulin
  • Kaposi's sarcoma
  • Kidney cancer
  • Leukemia
  • Liver cancer
  • Liver disease
  • Lung Cancer
  • Lung disease
  • Lymphoma
  • Myelodysplastic syndromes
  • Myelofibrosis
  • Myeloma
  • Others
  • Ovarian cancer
  • Pancreatic cancer
  • Peritoneal cancer
  • Polycythaemia Vera
  • Primary Biliary Cholangitis
  • Prostate cancer
  • Psoriasis
  • Psoriatic arthritis
  • Soft Tissue Sarcoma
  • Squamous Cell Cancer
  • Stomach cancer
  • Tachycardia
  • Thyroid cancer
  • Tumours
  • Type 2 diabetes
  • Uncategorized
Recent Posts
  • What is Hemophilia?
    October 9, 2025 No Comments
  • What is Metastatic Colorectal Cancer?
    October 8, 2025 No Comments
  • What is Ulcerative Colitis?
    October 8, 2025 No Comments
Recent Comments
    Ziska Pharma
    Renata pharma
    Navana Pharma
    Jenphar Pharma
    General Pharma
    Drug International Pharma Ltd
    Acme Pharma
    • Dhaka, Bangladesh
    • Phone/ Teams/ Telegram/ WhatsApp/ WeChat: +8801719278350, +8801894946649
    • Email: info[at]elifesavingmedicine.net
    Recent Posts
    • What is Hemophilia?
      October 9, 2025 No Comments
    • What is Metastatic Colorectal Cancer?
      October 8, 2025 No Comments
    Get Help
    • About us
    • Contact us
    • Blog
    Trustpilot
    Our Policies
    • Privacy Policy
    • Terms & Conditions
    mfw-small-logo
    5.0 out of ... Reviews
    Elifesaving Medicine © 2021-2026. All rights reserved.
    Start typing to see products you are looking for.
    • Menu
    • Categories
    • Anti Androgen
    • Oncology
    • Anti Diabetic
    • Anti Viral
    • Antidiarrheal
    • Antirheumatic
    • Dermatology
    • Others
    • Home
    • Medicines
    • Generics
    • Blog
    • How To Order
    • About us
    • Contact us
    • Login / Register
    Shopping cart
    Close
    Sign in
    Close

    Lost your password?

    No account yet?

    Create an Account
    Select your currency
    USD United States (US) dollar
    BDT Bangladeshi taka
    Shop
    Sidebar
    0 items Cart
    My account
    • English
    • العربية
    • Русский
    • Deutsch
    • 中文(简体)
    • Nederlands
    • Español
    • 한국어
    • Português Brasileiro
    • Polski
    • Türkçe
    • বাংলা